Advertisement

Cleft Lip After Surgery Care : Then the doctor used stitches to bring the cut edges together to shape the upper lip and nostrils.

Cleft Lip After Surgery Care : Then the doctor used stitches to bring the cut edges together to shape the upper lip and nostrils.. With cleft lip, the skin on your child's upper lip has not grown together normally. A nurse will explain special care routines, procedures and home care to you. Some surgeons favor early repair, before the newborn is discharged from the hospital; Your child will be cared for by a specialist cleft team at an nhs cleft centre. Baby should lie on their back during sleep to prevent trauma to sutures.

Cleft lip is a congenital slit in the skin above the lip, typically also associated with a cleft palate. Other surgeons prefer to wait until the newborn is 1 to 2 months old, weighs about 10 lbs, and is gaining weight steadily. 6 cleft lip and cleft palate nursing care plans. Children with a cleft lip or palate will need several treatments and assessments as they grow up. The cleft lip and palate center expertly cares for children with cleft palate.

Primary Cleft Lip Nasal Reconstruction Gallery St Louis Childrens Hospital
Primary Cleft Lip Nasal Reconstruction Gallery St Louis Childrens Hospital from www.stlouischildrens.org
Your child will be cared for by a specialist cleft team at an nhs cleft centre. Many, but not all, parents know in advance that their newborn infant will have a cleft lip from the prenatal ultrasound.the mother's doctor or the baby's future doctor can help parents meet with experts—called a cleft/craniofacial team.prenatal consultation involves parents meeting various members of the cleft/craniofacial team and learning about the care. After surgery it is fine to use a nipple, cup, or syringe feeds (brecht feeder). These may occur singly or together and often occur with other congenital anomalies such as spina bifida, hydrocephalus, or cardiac defects. Your child's physician may prescribe medications to help with this. Reconstructive surgery for cleft lip and/or palate has evolved over more than half a century and today's techniques and procedures have come a long way. The typical treatment is reconstructive surgery. After cleft lip or palate surgery.

The amount of stitches in the incision line will depend on the extent of the initial deformity and the technique used by the surgeon for closure.

Visitors must go to the information desk and get a blue visitor's pass. Children with a cleft lip or palate will need several treatments and assessments as they grow up. Your child is scheduled for the following surgery: Post op care includes monitoring for choking. Some surgeons favor early repair, before the newborn is discharged from the hospital; Your child recently had surgery to help repair his or her cleft lip, cleft palate, or both. Cleft lip and cleft palate is a defect caused by the failure of the soft and bony tissue to fuse in utero. There may be less feeling in this area for a while after the surgery. Other treatments, such as speech therapy and dental care, may also be needed. Recovery parents generally request the specific care path for their child so that expectations for cleft lip and cleft palate repair plastic surgery can be defined. After the surgery for cleft lip: Many, but not all, parents know in advance that their newborn infant will have a cleft lip from the prenatal ultrasound.the mother's doctor or the baby's future doctor can help parents meet with experts—called a cleft/craniofacial team.prenatal consultation involves parents meeting various members of the cleft/craniofacial team and learning about the care. The doctor made a cut (incision) along the edges of the cleft lip extending up into the nose.

After cleft lip surgery within a few days after surgery, most babies will be able to eat the way they were fed before the surgery. 6 cleft lip and cleft palate nursing care plans. Modern clinic, experienced & uk certified surgeons, 24/7 personal assistance. The doctor made a cut (incision) along the edges of the cleft lip extending up into the nose. Postoperative care of cleft lip and palate surgery is largely underdiscussed and a set of fixed guidelines will help the treating surgeon to provide the most comprehensive care to the cleft patients.

How To Care For Your Child After Cleft Lip Repair
How To Care For Your Child After Cleft Lip Repair from www.verywellhealth.com
Other surgeons prefer to wait until the newborn is 1 to 2 months old, weighs about 10 lbs, and is gaining weight steadily. Lip surgery (also referred to as revision cheiloplasty) may be necessary to improve the appearance and function of the lip which has been distorted with growth after a cleft lip, cleft palate or other craniofacial surgery. Usually the first one or two days after surgery are spent in the hospital under observation, then the child can recover at home. Some surgeons favor early repair, before the newborn is discharged from the hospital; Your child had surgery to repair birth defects that caused a cleft in which the lip or the roof of the mouth did not grow together normally while your child was in the womb. Cleft lip is a congenital slit in the skin above the lip, typically also associated with a cleft palate. Your child may have a cleft lip repair, a cleft palate repair, or both. These feeding devices will lower the chance of injury to the lip.

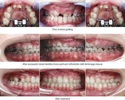
The outcome of cleft lip and/or cleft palate repair will improve your child's quality of life, including the ability to breathe, eat and speak.

These treatment protocols vary between centers and among surgeons; Sometimes babies will feed from a special tendercare™ feeder or from a syringe with brecht® tubing for the first few days after surgery. As your child recovers, they will require less and less pain medicine. After a child has had surgery to close a cleft lip and/or palate, his or her parents may be concerned about how to look after him or her properly. The doctor made a cut (incision) along the edges of the cleft lip extending up into the nose. Your child's physician may prescribe medications to help with this. For a short while after the procedure, your child will be fed with an intravenous catheter provided at the hospital or a. Your child may have a cleft lip repair, a cleft palate repair, or both. Across the world, a child with the condition is born every three minutes. Show your child the padded arm boards that will be used after surgery. Über 7 millionen englische bücher. Visitors must go to the information desk and get a blue visitor's pass. Cleft lip deformities can occur unilaterally.

Many, but not all, parents know in advance that their newborn infant will have a cleft lip from the prenatal ultrasound.the mother's doctor or the baby's future doctor can help parents meet with experts—called a cleft/craniofacial team.prenatal consultation involves parents meeting various members of the cleft/craniofacial team and learning about the care. Recovery parents generally request the specific care path for their child so that expectations for cleft lip and cleft palate repair plastic surgery can be defined. Some clefts may only be a small notch in the red part of the lip. The amount of stitches in the incision line will depend on the extent of the initial deformity and the technique used by the surgeon for closure. Your child will have some pain after their cleft lip repair, which will be controlled using pain medications.

Cleft Lip Before And After Photos
Cleft Lip Before And After Photos from www.childrens.com
The outcome of cleft lip and/or cleft palate repair will improve your child's quality of life, including the ability to breathe, eat and speak. Most patients can be discharged the day following surgery, but they stay until they are drinking well. The typical treatment is reconstructive surgery. Cleft lip is a congenital slit in the skin above the lip, typically also associated with a cleft palate. Cleft lip is a common birth defect (problem). Consent for cleft palate repair After a child has had surgery to close a cleft lip and/or palate, his or her parents may be concerned about how to look after him or her properly. For a short while after the procedure, your child will be fed with an intravenous catheter provided at the hospital or a.

Your child's physician may prescribe medications to help with this.

Cleft palate or cleft lip is a very common deformity at birth. Reconstructive surgery for cleft lip and/or palate has evolved over more than half a century and today's techniques and procedures have come a long way. Lip surgery (also referred to as revision cheiloplasty) may be necessary to improve the appearance and function of the lip which has been distorted with growth after a cleft lip, cleft palate or other craniofacial surgery. It's best not to wait until pain gets bad to give the. Usually the first one or two days after surgery are spent in the hospital under observation, then the child can recover at home. Biggest & most modern plastic surgery clinic in baltic states, team of 6 plastic surgeons Your child may have a cleft lip repair, a cleft palate repair, or both. The typical treatment is reconstructive surgery. After the surgery for cleft lip: Cleft lip repair is surgery to fix the the opening in your child's lip. After cleft lip surgery there will be sutures (stitches) in your child's lip. The amount of stitches in the incision line will depend on the extent of the initial deformity and the technique used by the surgeon for closure. Postoperative care of cleft lip and palate surgery is largely underdiscussed and a set of fixed guidelines will help the treating surgeon to provide the most comprehensive care to the cleft patients.

The area will be pink around the stitches and slightly swollen cleft lip surgery after care. Clefts may look different from one child to another.

Posting Komentar

0 Komentar